0
0
0

下巴前突真的只能靠手术矫正吗?

等级:1 级 天涯使者
1月前 25

"照镜子总感觉下巴往前顶得像鞋拔子?侧脸看起来像愤怒的小鸟?"别急着emo,我刚开始发现自己下巴前突的时候,也以为这辈子只能当"月亮脸本尊"了。直到跟着牙医朋友学了点门道,才发现这事儿真没想象中那么可怕。

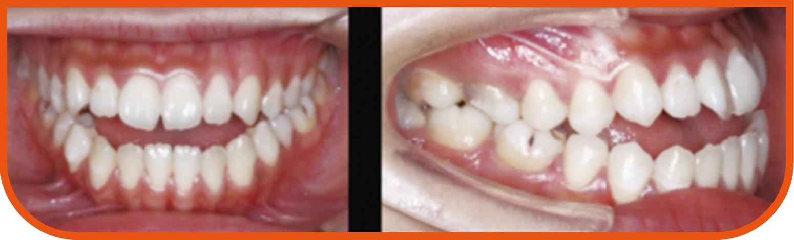
一、你的下巴到底突不突?

咱们先别慌,掏出手机拍张标准侧脸照(耳朵要露出来)。重点看这三个点:眉骨最高点→鼻尖→下巴尖。正常应该连成条微凸的弧线,如果下巴明显超过这条线,八成就是前突了。

下巴前突真的只能靠手术矫正吗?

不过别急着照镜子!我见过好多妹子把正常的下颌线误当前突,结果跑去瞎整容的。记住这两个数字:- 理想下颌角角度:115-120度- 颏唇沟深度:4mm左右要是拿不准,直接拿根筷子比划:把筷子竖着贴在下巴和嘴唇中间,正常应该刚好碰到上下唇,要是中间能塞进小拇指...嗯,该重视了。

二、突成这样还能救吗?

先说个冷知识:90%的下巴前突根本不用动刀!我表妹当初被忽悠要做正颌手术,结果牙套戴了两年就矫正好了。主要看你是哪种类型:

1. 假性前突• 习惯性张嘴呼吸• 睡觉总流口水• 长期用门牙啃东西这种改掉坏习惯+肌功能训练就能改善,我试过每天做"下巴后缩操",三个月侧脸线条明显柔和了。

2. 牙性前突• 牙齿排列不齐• 闭嘴时下巴肌肉紧张• 门牙外飘明显这种情况戴牙套最管用,现在有隐形矫正器,戴着跟透明保持器似的,根本看不出来。

下巴前突真的只能靠手术矫正吗?

3. 骨性前突• 家族遗传明显• 上下牙中线严重偏移• 侧面看像"月牙脸"这种才需要考虑正颌手术,不过概率真的超低!我咨询过三甲医院正畸科,说实际需要手术的不到5%。

三、必须知道的矫正雷区

当初我也被微商坑过,说什么"瘦脸绷带能收下巴",结果把脸勒出红印子屁用没有。这些野路子千万别试:✖️ 网红瘦脸神器(反而让咬肌更发达)✖️ 徒手整骨(轻则没效果重则伤关节)✖️ 玻尿酸填充(治标不治本还烧钱)

最靠谱的还是找专业正畸医生拍个头颅侧位片,200块就能测出精确数据。记得要看医生有没有中华口腔医学会正畸专委会的认证,别去美容院瞎折腾。

四、灵魂拷问:到底要不要手术?

这个问题我纠结了整整半年!后来医生给我画了条黄金分割线:当下巴前突导致咬合错位超过5mm,或者出现颞下颌关节弹响时,才建议考虑手术。

下巴前突真的只能靠手术矫正吗?

有个简单自测法:试着用后槽牙咬住筷子,如果前牙完全碰不到筷子,或者咬合时下巴明显前伸,赶紧挂号去吧!不过现在很多案例用骨钉+隐形矫正就能解决,根本不用动骨头。

小编观点:别被营销号带节奏,90%的下巴前突都能非手术矫正。关键是早发现早干预,25岁前矫正效果最好。记住,你的下颌骨不是橡皮泥,别拿它当试验田!

请先登录后发表评论!

最新回复 (0)

    暂无评论

返回